Contactanos
Piedras Negras

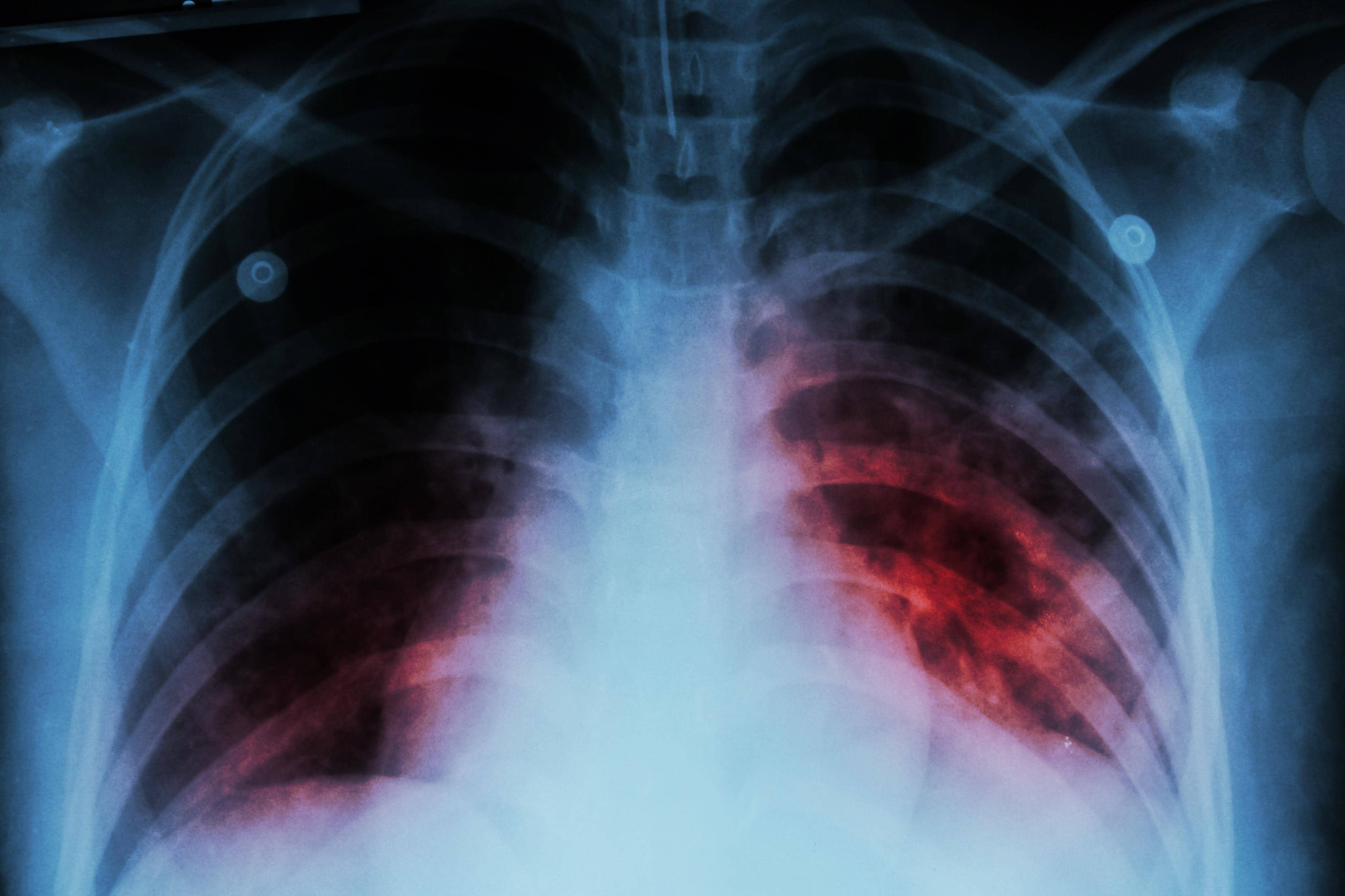
Detectan cinco casos de tuberculosis en la región durante 2026

Jurisdicción Sanitaria 01 refuerza la vigilancia epidemiológica y llama a atender síntomas respiratorios persistentes.

Por Emilio Gallegos - 27 enero, 2026 - 05:18 p.m.
Detectan cinco casos de tuberculosis en la región durante 2026

PIEDRAS NEGRAS, COAH.– La Jurisdicción Sanitaria 01 informó que, de enero a la fecha, se han detectado cinco pacientes con diagnóstico positivo de tuberculosis, quienes ya iniciaron tratamiento como parte de las acciones de vigilancia epidemiológica y detección oportuna de esta enfermedad.

Zayuri Cázares Escareño, responsable del programa de Micobacteriosis, explicó que los casos corresponden a pacientes sintomáticos respiratorios, es decir, personas que presentan tos persistente por más de dos semanas, uno de los principales signos de alerta.

Placeholder

Acciones de la autoridad

Detalló que la búsqueda intencionada de casos se realiza principalmente en el Centro de Reinserción Social (Cereso), así como en centros de rehabilitación, al tratarse de espacios con mayor riesgo de transmisión, además de todos los centros de salud de la región.

Indicó que el personal médico identifica a personas con síntomas respiratorios prolongados y las canaliza al área correspondiente para su evaluación y seguimiento. Como parte del protocolo diagnóstico, la Jurisdicción Sanitaria aplica pruebas de PPD y realiza estudios de imagen.

Detalles confirmados

Cázares Escareño señaló que, en coordinación con otras instancias, algunos pacientes que cruzan a Estados Unidos pueden someterse a estudios complementarios; no obstante, a nivel local se garantiza la atención directa y el tratamiento oportuno para evitar complicaciones y nuevos contagios.

Finalmente, reiteró el llamado a la población para acudir a revisión médica ante síntomas respiratorios persistentes, ya que la detección temprana permite iniciar tratamiento oportuno y reducir la transmisión de la enfermedad.

Únete a nuestro canalArtículos Relacionados